ดีเจชื่อดัง บอส ณัชพงศ์พล โดนเหล็ก 11 โลหล่นทับเท้า ขณะออกกำลังกาย โชคดีกระดูกไม่หัก ลั่น! ปีนี้มีแต่เรื่องซวย
ทำเอาเพื่อนร่วมวงการแห่เป็นห่วงอย่างคับคั่ง สำหรับดีเจชื่อดัง บอส ณัชพงศ์พล สุดดี ที่ล่าสุดเจ้าตัวได้ออกมาโพสต์ภาพขณะนั่งอยู่บนรถเข็นวีลแชร์ โดยได้รับบาดเจ็บที่บริเวณเท้า ซึ่งเจ้าตัวได้แจ้งถึงเรื่องราวที่เกิดขึ้นว่า โดนเหล็ก 11 โลหล่นทับเท้าขณะออกกำลังกาย



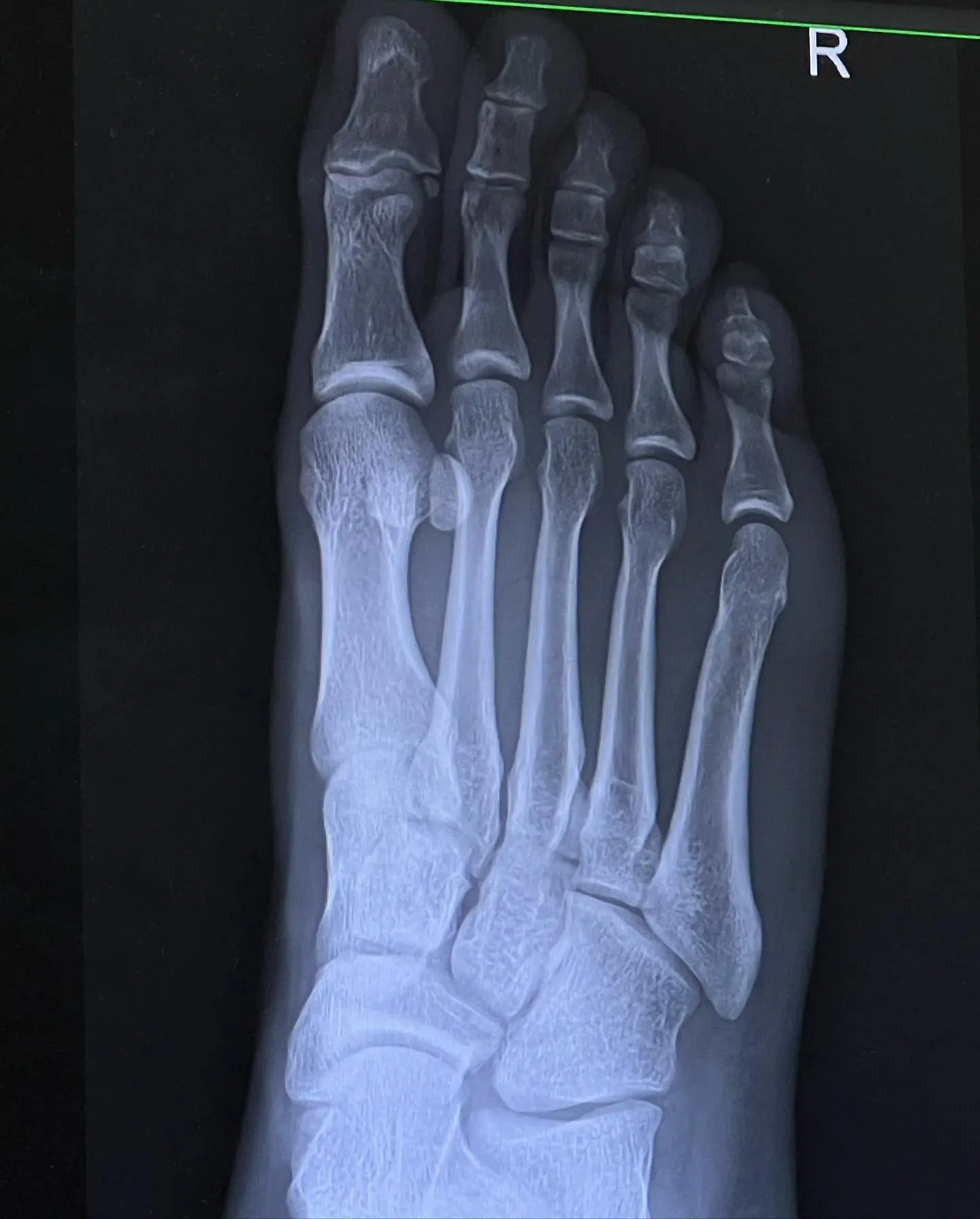
ด้าน ดีเจบอส ณัชพงศ์พล ได้ออกมาโพสต์ภาพ พร้อมเล่าเหตุการณ์ผ่านทางอินสตาแกรมส่วนตัวว่า “เรียบร้อย!! 2-1 🔴 เอ๊ย ผิดครับ!!! เหล็กทับ 👣 เต็มๆ เหล็ก 11 โล (เหล็กล้วนไม่มียางผสม) หลน จากระดับ หัวไหล่ เหลี่ยมลง เท้า เต็มๆจากทรง คือ ดูไงไม่น่ารอด กระดูกน่าจะไม่หัก ก็ ต้อง ร้าว สรุป!! เอ็กซเรย์ ออกมา หมอ บอกเกิ๊นน ไม่เป็นอะไรเลย กระดูกปกติแข็งแรงมาก เอ็นไม่ขาด กล้ามเนื้อไม่ฉีกขาด #ขาผมอดาแมนเที่ยม 🦿เตือนทุกคนนะครับ ใส่รองเท้าทุกครั้งเวลาออกกำลังกายอะไรที่อันตราย หนักจะได้เบาลง ถ้าไม่มีรองเท้าถุงเท้า ผมว่าน่าจะหักละเอียดเลย GYM ไม่ใช่ของเล่นนะครับ 🦾🦿🧠 #เหมือนปีนี้มีแต่เรื่องซวยดีสุดในชีวิตมีแค่เรื่องเดียว” ซึ่งเพื่อนคนบันเทิงหลังจากที่ดีเจบอสโพสต์ไปก็เข้ามาส่งกำลังใจให้อย่างเนืองแน่น



ติดตามข่าวสาร Bright Today ช่องทางอื่น ๆ
Website : BRIGHT TODAY
Facebook : BRIGHT TV
Line Today : BRIGHT TODAY