สืบเนื่องจากกรณีที่ อาต้อย เศรษฐา นักแสดงรุ่นเก๋าชื่อดัง ติดเชื้อโควิด-19 ทั้งมีโรคประจำตัว ป่วยเป็นมะเร็งปอดอยู่ก่อนเดิมทำให้ทุกคนเป็นห่วงเป็นอย่างมาก
อัปเดตอาการ อาต้อย เศรษฐา ติดเชื้อโควิด19 ฝากขอบคุณทุกคนที่เป็นห่วง
ล่าสุด เมื่อวันที่ 21 เมษายน อีฟ พุทธธิดา ลูกสาวของอาต้อย ก็ได้ออกมาอัปเดตอาการของคุณพ่อ, สามี และลูกชาย น้องมีบุญที่ติดเชื้อโควิด-19 ผ่านทางอินสตาแกรมส่วนตัว โดยมีรายละเอียดตามคลิป ดังนี้
“คุณหมอโทรมาแจ้งว่า คุณพ่อ อาการที่มีลงปอดนะคะ ก็คือพบว่ามีรอยที่ปอดด้านล่างขวา ขนาดของรอยที่เห็นใน CT Scan ขนาดเส้นผ่าศูนย์กลางประมาณ 3 เซนติเมตร เท่านั้นเอง เล็ก ๆ นะคะ แล้วก็โชคดีที่คุณหมอให้ยาเร็ว คุณหมอแจ้งว่าคุณหมอให้ยาต้านค่อนข้างเร็ว แล้วก็ คุณพ่อได้รับพลาสม่าด้วยนะคะ วันที่ไปถึง ตอนนี้ก็ยังอยู่ในอาการที่ดี ยังไม่มีอะไรเพิ่มเติม ก็ถือว่าลงไปนิดเดียว ยังน้อยมาก แล้วก็ไม่น่ามีผลอะไรกับมะเร็งเดิม แล้วก็หมอบอกว่าใน CT Scan ก็มองเห็นก้อนมะเร็งอยู่ ก็ยังเป็นขนาดเท่าเดิมไม่ได้เพิ่มไม่ได้มีอะไร จริง ๆ แล้วเทียบกับ CT อันเก่าก็เล็กลงด้วย ก็ยังอยู่ในความน่าพอใจที่หมอบอก หมอบอกคุณพ่อยังไม่น่ามีอันตรายใด ๆ ถามคุณพ่อว่ามีอาการอื่นไหม คุณพ่อก็มีอาการไอนิดหน่อยไม่มีไข้ ขอบคุณคุณหมอมากๆ ถือว่าโชคดีที่คุณพ่อไปโรงพยาบาลเร็ว ได้รับยาเร็วค่ะ ไม่มีไข้ ขอบคุณคุณหมอมาก ๆ ถือว่าโชคดีของพ่อที่ไปโรงพยาบาลได้เร็ว ได้รับยาเร็วค่ะ”
“ต้นนะคะ สามี ได้ทราบผล x-ray วันนี้ จริง ๆ ต้นเนี่ยไม่ได้มีอาการอะไรเลย ไม่มีไข้ มีเสมหะในคอแต่ก็ไม่ไอ แต่ผล x-ray ออกมาว่าปอดมีฝ้า เห็นเป็นฝ้า ๆ สองข้าง คุณหมอบอก ต้องไปให้ยาต้านที่โรงพยาบาล พรุ่งนี้โรงพยาบาลก็จะมารับต้นไป ส่วนอีฟกับมีบุญก็จะยังอยู่ที่เดิมต่อไป”
“มีบุญก็ไม่มีอาการอะไรผิดปกตินะคะ ยังซนเหมือนเดิม แล้วก็ไม่มีไข้ กินได้ มีท้องเสียนิดหน่อย”
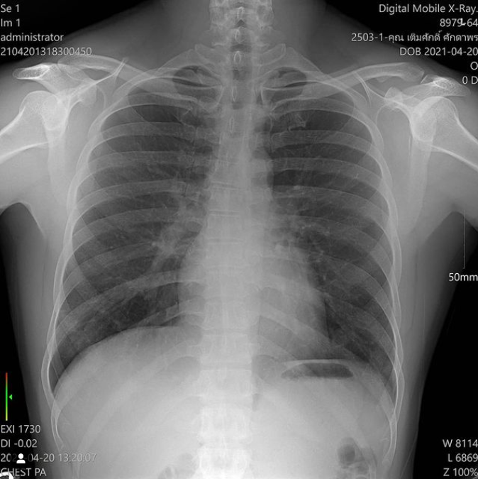
นอกจากนี้ อีฟยังได้โพสต์ภาพฟิลม์ x-ray ปอดของสามีด้วย พร้อมแคปชั่น
“X ray ปอดคุณสามี หมอแจ้งว่ามีฝ้าที่ปอดทั้งสองข้าง (แม่ดูไม่เป็น) แปลว่าเชื้อเริ่มลงปอดแล้ว และจะต้องย้ายตัวไปให้ยาที่รพ. พรุ่งนี้รถพยาบาลจะมารับป่าป๊าไป ก็จะเหลือแม่กับลูกอยู่กันสองคนที่ Hospitel ป่าป๊าบอกว่าไม่รู้จะนอนหลับไม๊เพราะกลัวผี แม่เลยบอกว่าขอยานอนหลับหมอเลยถ้านอนไม่หลับเพราะป่าป๊าจะต้องรีบหาย จะได้กลับบ้านพร้อมกันนะ ป่าป๊าสู้ๆ ทุกคนในครอบครัวเราต้องสู้ๆ คุณตายังสู้เลย เราจะจับมือผ่านโรคบ้าๆนี่ไปด้วยกัน เมื่อผ่านเรื่องนี้ไปแล้ว เราจะรู้ว่าครอบครัวเราแข็งแรงและเป็นอันหนึ้งอันเดียวกันแค่ไหนเมื่อต้องเจอเรื่องร้ายๆ”
อัปเดตอาการ อาต้อย เศรษฐา ติดเชื้อโควิด19 ฝากขอบคุณทุกคนที่เป็นห่วง

ขอขอบคุณภาพจาก yvessirachaya