อีกหนึ่งเคส! ติดเชื้อราในปอด ชายอายุ 66 ขายข้าวโพดเลี้ยงสัตว์ หายใจเอาเชื้อราที่อยู่ในข้าวโพดเข้าไป ต้องรักษานานนับปี
จากกรณีที่เมื่อวันที่ 13 ต.ค. ที่ผ่านมา นพ.มนูญ ลีเชวงวงศ์ อายุรแพทย์ทางด้านโรคระบบทางเดินหายใจ โรงพยาบาลวิชัยยุทธ ได้ออกมาโพสต์ เคสตัวอย่าง ที่คนไข้อายุ 79 ปี ติดเชื้อราในปอด หลังสูดดมความชื้นของหนังสือเก่า ที่กระดาษเปลี่ยนสีแล้ว พร้อมแนะให้ใส่หน้ากากอนามัยป้องกัน
ล่าสุด นพ.มนูญ ลีเชวงวงศ์ ก็ได้ออกมาโพสต์เพจเฟซบุ๊ก หมอมนูญ ลีเชวงวงศ์ FC ยกอีกหนึ่งเคสตัวอย่างของการติดเชื้อราในปอดมาให้ได้ศึกษากัน โดยหมอมนูญ ระบุว่า
ผู้ป่วยชายอายุ 66 ปี ไอ เสมหะสีเหลืองเขียว มีไข้ต่ำๆ เหนื่อย หายใจวี๊ดๆ 10 วัน ประวัติเป็นโรคหลอดลมอุดกั้นเรื้อรัง เคยสูบบุหรี่ 2 ซอง/วัน หยุดสูบ 4 ปี เป็นโรคหัวใจขาดเลือด ทำผ่าตัดบายพาสหลอดเลือดหัวใจ 3 เส้น 4 ปีก่อน กินยาสเตียรอยด์ต่อเนื่อง 1 ปี เพราะเหนื่อยหายใจลำบาก

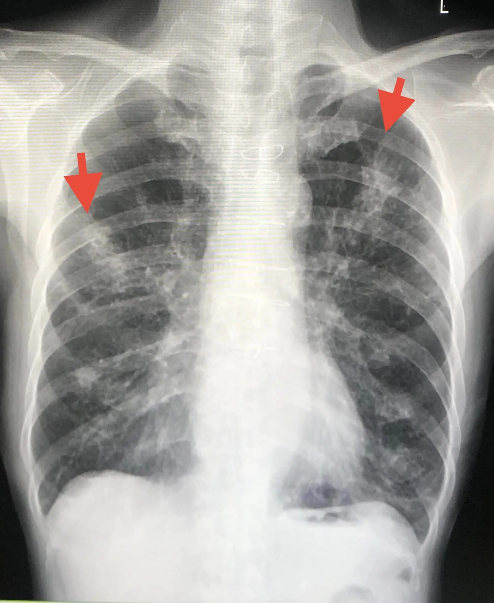
ผู้ป่วยมีอาชีพรับซื้อขายข้าวโพดเลี้ยงสัตว์ และขายปุ๋ยเคมี ตรวจร่างกาย ไม่มีไข้ อุณหภูมิ 37 องศาเซลเซียส ฟังปอดมีเสียงวี๊ด เอกซเรย์ปอด มีปื้นขาวเล็กๆในปอด 2 ข้าง คอมพิวเตอร์สแกนปอดมีฝ้าหลายจุดกระจายในปอด 2 ข้าง


ทำหัตถการส่องกล้องเข้าไปในหลอดลม (Bronchoscopy) พบเสมหะเหลืองข้นเหนียวมากในหลอดลมทั้ง 2 ข้าง ดูดออกมาได้เยอะมาก ส่งน้ำล้างปอด ย้อมไม่พบเชื้อวัณโรค ย้อมพบเชื้อราสาย เพาะเชื้อราขึ้นเชื้อรา Aspergillus fumigatus และ Rhizopus spp. ส่งน้ำล้างปอด bronchial Aspergillus galactomannan antigen ให้ผลบวก

ผลสรุปคือ คนไข้รายนี้ ปอดอักเสบเกิดจากการติดเชื้อรา ได้ให้ยาฆ่าเชื้อราตัวใหม่ Isavuconazole ซึ่งมีราคาแพงมากสามารถครอบคลุมฆ่าเชื้อราได้ทั้ง 2 ชนิด หลังกินยาผู้ป่วยดีขึ้นช้าๆ ไอน้อยลง เหนื่อยน้อยลงผู้ป่วยมีภูมิคุ้มกันต่ำจากการกินยาเสตียรอยด์ต่อเนื่องเป็นปี
บ้านของผู้ป่วยติดกับโกดังเก็บข้าวโพดเลี้ยงสัตว์ ผู้ป่วยหายใจสปอร์ของเชื้อราที่เจริญงอกในเมล็ดข้าวโพดเข้าไปในปอด ต้องให้ยาฆ่าเชื้อราตัวใหม่ต่อเนื่องนานหลายเดือน จนกว่าเอกซเรย์ปอดกลับมาเป็นปกติ
ติดตามข่าวสาร Bright Today ช่องทางอื่น ๆ
Website : BRIGHT TODAY
Facebook : BRIGHT TV
Line Today : BRIGHT TODAY