โควิด19 — รศ.นพ.นิธิพัฒน์ เจียรกุล หัวหน้าสาขาวิชาโรคระบบการหายใจและวัณโรค ภาควิชาอายุรศาสตร์ คณะแพทยศาสตร์ศิริราชพยาบาล มหาวิทยาลัยมหิดล โพสต์ภาพและแสดงความคิดเห็น ถึงสถานการณ์โควิด19 แย้มหวั่นอาจมีล็อกดาวน์เฉพาะบางพื้นที่เสี่ยง โดยระบุว่า
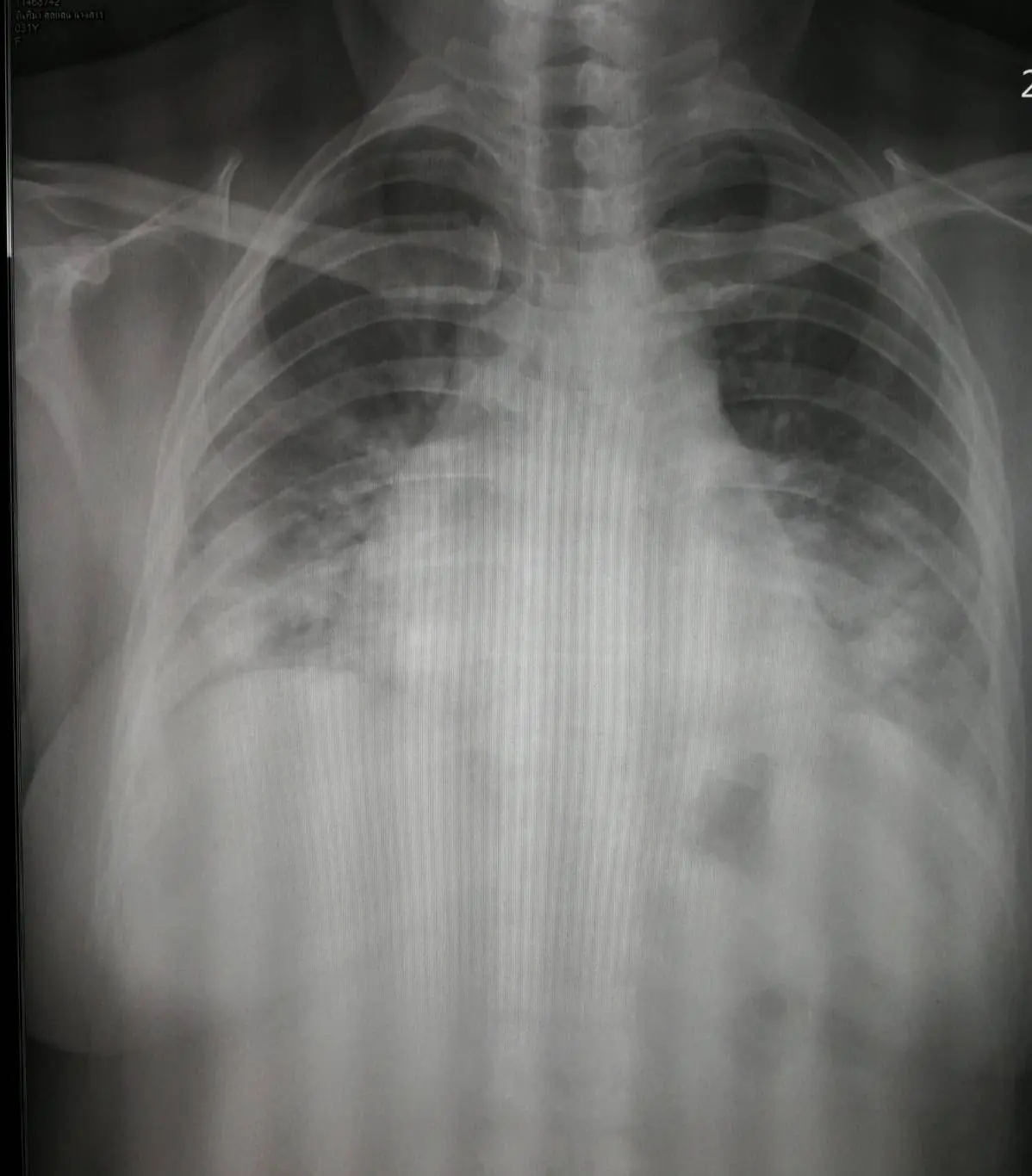
“ภาพเอกซเรย์ปอดที่คุ้นตาแพทย์กลับมาแล้ว ศึกพม่าตอนนี้รุกหนักจากชายแดนประเทศมาสู่ชายแดนตะวันตกของกรุงเทพแล้ว วันนี้มาปฏิบัติภาระกิจพิเศษในโรงพยาบาลเป้าหมายสองแห่ง ด้านหนึ่งในฐานะครูที่มาช่วยลูกศิษย์เตรียมการในโรงพยาบาลเพื่อรับมือผู้ป่วยโควิด อีกด้านหนึ่งในฐานะโรงพยาบาลแม่ข่ายปริมณฑลด้านตะวันตกของกรุงเทพ พบว่าศึกครั้งนี้คงระบาดวงกว้างได้ในสองสามวันนี้
เจ้าหน้าที่ที่เกี่ยวข้องกำลังทำงานกันอย่างหนักเพื่อควบคุมในชุมชน ที่น่าเป็นห่วงคือผู่ป่วยที่ต้องรับไว้ในโรงพยาบาลทั้งที่ไม่มีอาการไปจนถึงอาการรุนแรง หนึ่งใน 30+ รายเป็นดังรูปต้องใช้ออกซิเจนอัตราไหลสูง แต่ยังร่วมมือรักษาด้วยการนอนคว่ำให้มากเข้าไว้ อาการทั่วไปยังไม่น่าเป็นห่วง กังวลว่าอาจต้องเตรียมการล็อคดาวน์เฉพาะพื้นที่เสี่ยงหรือไม่
ห่วงใยกิจกรรมเคาต์ดาวน์ในพื้นที่ใกล้เคียงหรือทั่วประเทศควรยอมให้จัดหรือไม่ รวมไปถึงกิจกรรมรวมกลุ่มอื่นเช่น การสวดมนต์ข้ามปี กิจกรรมเหล่านี้มีความเสี่ยงการใกล้ชิดตัว การถอดหน้ากากชั่วคราว การเปล่งเสียง
ทั้งสามองค์ประกอบล้วนทำให้เกิดการระบาดระลอกแรกจากสนามมวยและสถานบันเทิง บรรดาภาคเอกชนที่รับผิดชอบจัดงานเช่นที่โคราชช่วงที่ผ่านมา ถ้าท่านมีความรับผิดชอบต่อสังคมจริงตามที่ท่านพูดปาวๆ ท่านต้องกล้าตัดสินใจกลืนเลือดด้วยการประกาศยุติงานโดยไม่มีเงื่อนไข หากดันทุรังแล้วเกืดปัญหาตามหลังมา แล้วชื่อเสียงองค์กรท่านจะป่นปี้กู่ไม่กลับ
มาส่งใจช่วยให้ศึกพม่าประชิดเมืองหลวงครั้งนี้สงบลงโดยพลันอย่างสูญเสียน้อยที่สุด
