หมอมนูญ เผยภาพเอกซเรย์ปอดผู้ป่วยติดเชื้อ โควิดสายพันธุ์อังกฤษ ชี้ สายพันธุ์นี้ทำปอดพังหนัก แนะเร่งฉีดวัคซีนป้องการอาการหนัก
เมื่อวันที่ 9 มิถุนายน 2564 หมอมนูญ หรือ นพ.มนูญ ลีเชวงวงศ์ แพทย์เชี่ยวชาญเฉพาะทางด้านโรคระบบทางเดินหายใจ โรงพยาบาลวิชัยยุทธ ได้โพสต์ข้อความผ่านเฟซบุ๊ก หมอมนูญ ลีเชวงวงศ์ FC ระบุว่าเชื้อไวรัสโควิด-19 สายพันธุ์อัลฟาหรือสายพันธุ์อังกฤษ เป็นสายพันธุ์หลักที่กำลังระบาดหนักในประเทศไทยรอบนี้ ติดต่อกันง่ายมาก เพิ่มจำนวนเชื้ออย่างรวดเร็วในร่างกาย เล่นงานปอดรุนแรงกว่าเชื้อสายพันธุ์เดิมในรอบก่อน บางคนถึงหายป่วยแล้ว ปอดยังเสียหายมาก ต้องใช้เวลานานเป็นหลายๆเดือนหรืออาจเป็นปีกว่าจะดีขึ้น
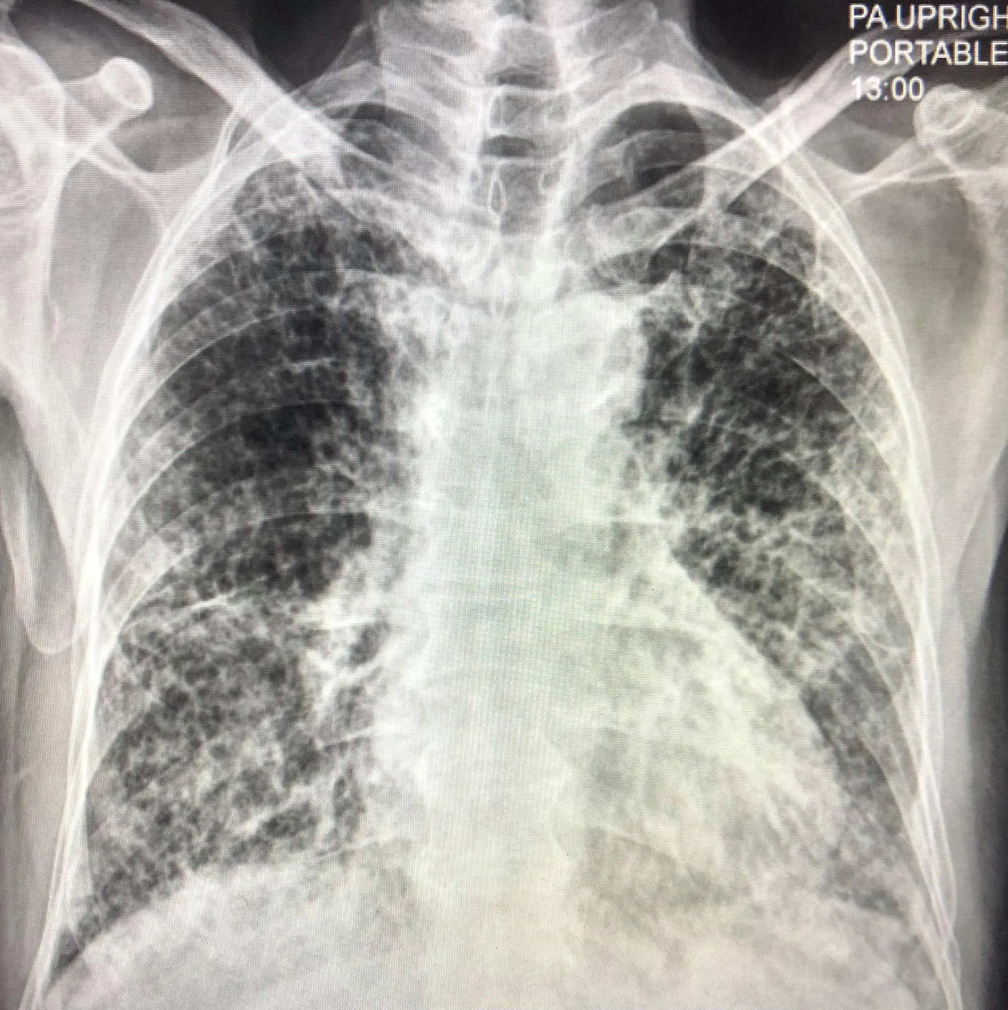
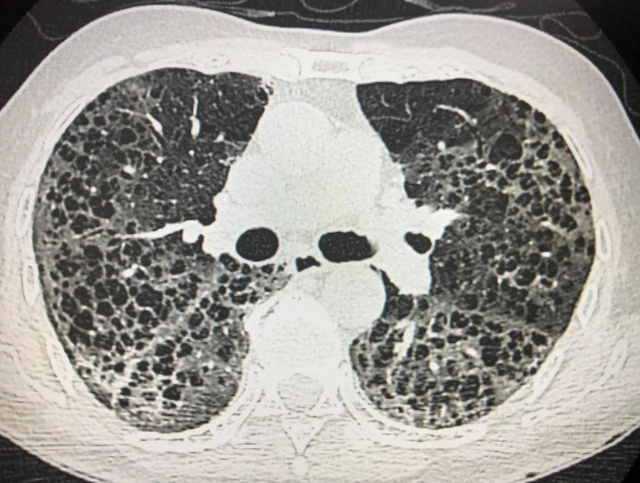
ผู้ป่วยชายไทยอายุ 80 ปี ปกติแข็งแรงดี ไม่มีประวัติป่วยเป็นโรคปอด ไม่สูบบุหรี่ เมื่อวันที่ 16 เมษายน 2564 ป่วยเป็นโรคโควิด-19 โดยลูกเป็นคนนำเชื้อมาให้ผู้ป่วยและคนในครอบครัวรวมทั้งหมด 7 คน เข้านอนรักษาในโรงพยาบาลด้วยปอดอักเสบรุนแรง เอกซเรย์ปอดมีฝ้าขาวทั้ง 2 ข้าง (ดูรูป) ทำคอมพิวเตอร์สแกนปอดพบเนื้อเยื่อปอดอักเสบรุนแรง มีทั้งฝ้าขาว รอยโรคเหมือนร่างแห และลักษณะผิดปกติคล้ายรังผึ้ง กระจายทั่วปอด (ดูรูป) ผู้ป่วยได้รับการรักษาเต็มที่ โชคดีที่ไม่ต้องใส่เครื่องช่วยหายใจ ต้องใช้ออกซิเจนมากถึง 10 ลิตร/นาทีตลอดเวลา นอนในรพ.ถึงวันที่ 22 พฤษภาคม 2564
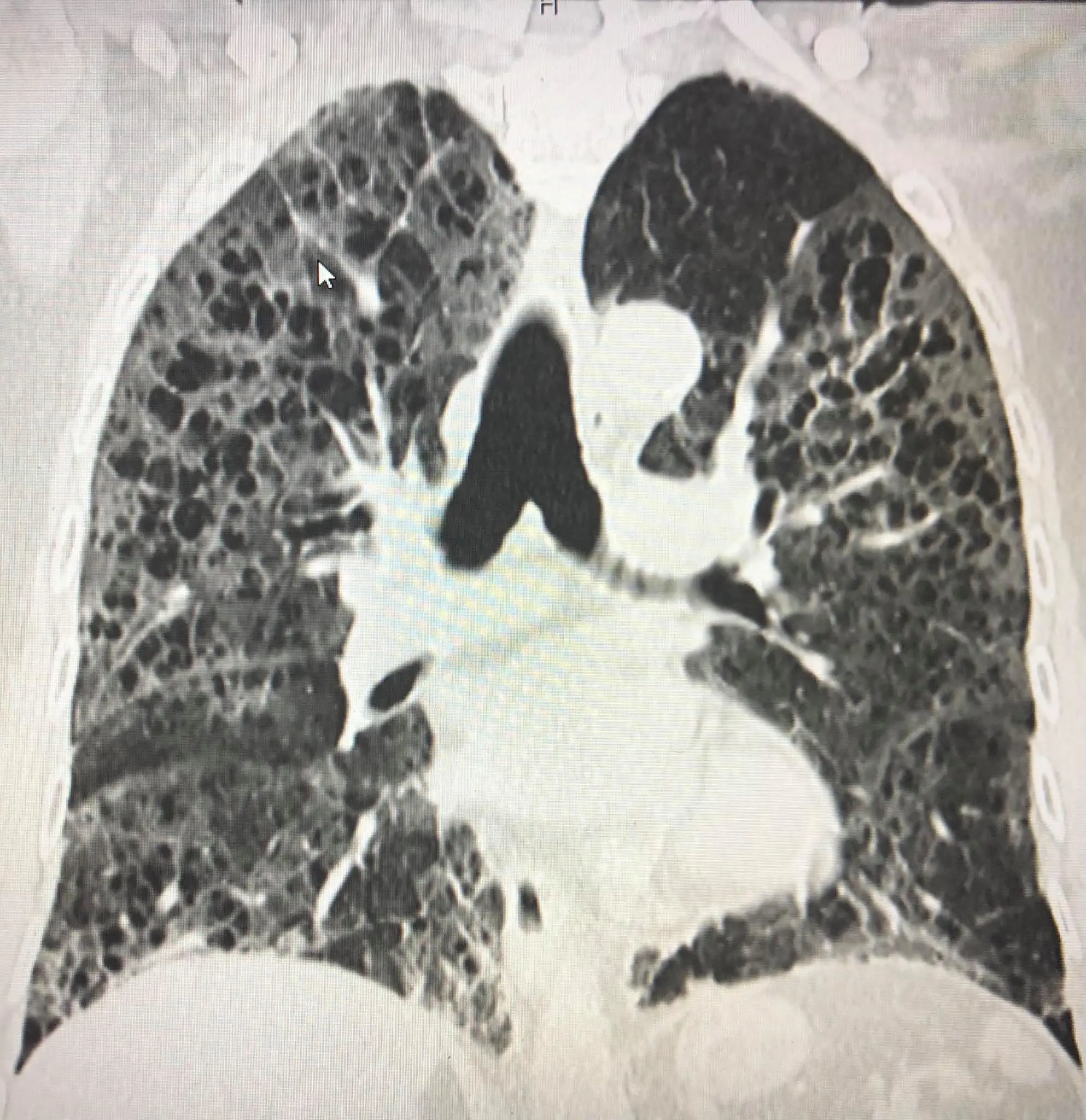
8 สัปดาห์หลังจากเริ่มป่วย มีไอเล็กน้อย ไม่มีไข้ เดินนิดเดียวก็เหนื่อย ยังต้องใช้ออกซิเจน 4 ลิตร/นาทีตลอดเวลา ระดับออกซิเจนในเลือดถึงจะขึ้นมาอยู่ที่ 95% แต่ถ้าไม่ใช้ออกซิเจน ระดับออกซิเจนในเลือดจะลดลงต่ำกว่า 80% เอกซเรย์ปอดยังผิดปกติ ลักษณะคล้ายพังผืด แต่ดีขึ้นช้าๆ (ดูรูป)
ไวรัสโควิด-19 มีผลกระทบระยะยาวต่อปอด (Post-Acute Sequelae of SARS-CoV-2 infection)ขอให้ทุกคนรีบไปลงทะเบียน จองคิวฉีดวัคซีนให้เร็วที่สุด เพื่อป้องกันการป่วยหนักจากโรคโควิด-19 และหลีกเลี่ยงผลกระทบระยะยาวต่อสุขภาพเหมือนผู้ป่วยรายนี้
ข่าวที่น่าสนใจ
โป๊ะแตก! แก๊งไฮโซตีเนียน สวมเสื้อวิน รอฉีดวัคซีนโควิด ก่อนความแตก ถูกจับในที่สุด
เช็กเงื่อนไข วัคซีนซิโนฟาร์ม ระยะที่ 1 ราคารวมค่าประกัน – ใครแหกกฎปรับ 15 เท่า
สปส. ย้ำชัด ฉีดวัคซีนโควิด ผู้ประกันตน ม.33 ที่ลงทะเบียนแล้ว เท่านั้น! ไม่รับ Walk in



