หัวหน้าศูนย์โรคอุบัติใหม่ฯ โพสต์ภาพคนไข้ติดเชื้อ โควิด-19 รายใหม่ไม่แสดงอาการแต่ปอดมีการติดเชื้อ ย้ำต้องบอกข้อมูลทุกครั้งเพื่อแยกจากคนไข้อื่น
นพ.โอภาส พุทธเจริญ หัวหน้าศูนย์โรคอุบัติใหม่ทางคลินิก โรงพยาบาลจุฬาลงกรณ์ สภากาชาดไทย โพสต์ข้อความผ่านเฟซบุ๊ก “Opass Putcharoen” ถึงประเด็นผู้ป่วย COVID-19 โดยระบุว่า Walking spreader รอบนี้คนไข้ไม่เหมือนเดิม
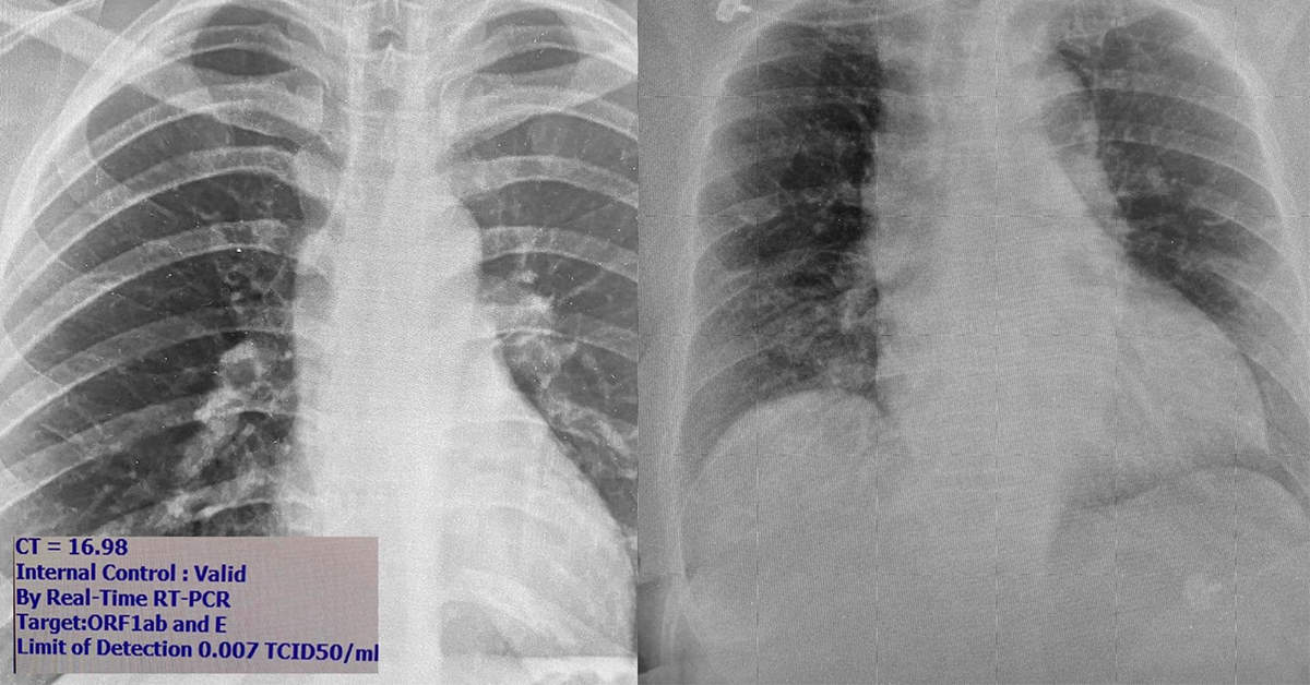
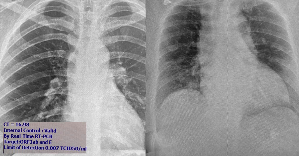
นพ.โอภาสระบุว่า เชื้อสามารถแบ่งตัวได้ดีในจมูกและทางเดินหายใจ คนไม่มีอาการจะมีเชื้อในจมูกเยอะมากพร้อมที่จะแพร่กระจายเป็นวงกว้างเวลาไอ จามหรือพูด ในรูปภาพซ้าย ภาพถ่ายปอดผู้ที่ติดเชื้อที่ไม่มีอาการเลย เดินไปเดินมา ใช้ชีวิตเหมือนคนปกติ แต่เชื้อในจมูกค่า CT (cycle threshold) จากเครื่อง PCR บอกว่ามีปริมาณเชื้อในจมูกสูง มากเมื่อเทียบกับคนไข้ที่เคยเห็นในระลอกแรก ดังนั้นถ้าไม่ได้มาตรวจก็แพร่กระจายเชื้อคนอื่นได้อีกมาก

ทั้งนี้หมอยังได้อธิบายภาพที่อยู่ทางด้านขวาว่า เริ่มเห็นคนไข้มีอาการไข้หวัดหรือปอดอักเสบมาที่โรงพยาบาล แต่ไม่ยอมบอกประวัติความเสี่ยงเพื่อปกปิดการเดินทาง แพทย์อาจไม่ได้ส่งตรวจหาโควิด เพราะคิดว่าเป็นปอดอักเสบจากเชื้ออื่นที่พบได้บ่อยกว่า
อ่านข่าว : รัฐบาล ยันกุมภานี้ อาจได้ใช้วัคซีนต้านโควิด ล็อตแรก 2 แสนโดส
ดังนั้นถ้ามีประวัติไปที่เสี่ยงตัองแจ้งแพทย์เสมอเพื่อแยกออกไปจากคนไข้คนอื่นที่มีโอกาสติดแล้วมีอาการรุนแรงหรืออาจติดต่อไปยังหมอและพยาบาล
เมื่อวาน (2 ม.ค.) มีคนไข้เป็นปอดอักเสบมาตรวจ แต่ไม่ยอมบอกประวัติความเสี่ยงแต่แพทย์เห็นฟิล์มผิดปกติเหมือนปอดอักเสบจากไวรัสเลยส่งตรวจโควิดและตรวจเจอเชื้อ พอเค้นซักประวัติอีกรอบถึงยอมรับว่าไปบ่อนมา ซึ่งเป็นบ่อนใน”กรุงเทพ”
โชคดีที่ดักเคสนี้ได้เร็ววินิจฉัยได้เร็ว การไม่บอกประวัติเสี่ยงอาจทำให้บุคคลากรทางการแพทย์อาจติดโควิด เพราะในบางครั้งถ้าการดูแลรักษาอาจต้องใช้การพ่นยาการใช้ออกซิเจนทำให้เชื้อกระจายฟุ้งในโรงพยาบาล โรงพยาบาลอาจจะขาดกำลังแพทย์พยาบาลเพื่อรักษาคนไข้อื่น
อ่านข่าว : แบบนี้ก็มี! หนุ่มป่วย โควิด19 สุดมึน จำไม่ได้ไปไหนมาบ้าง?